Full Cosmetic Dentistry in Bonita Springs, FL
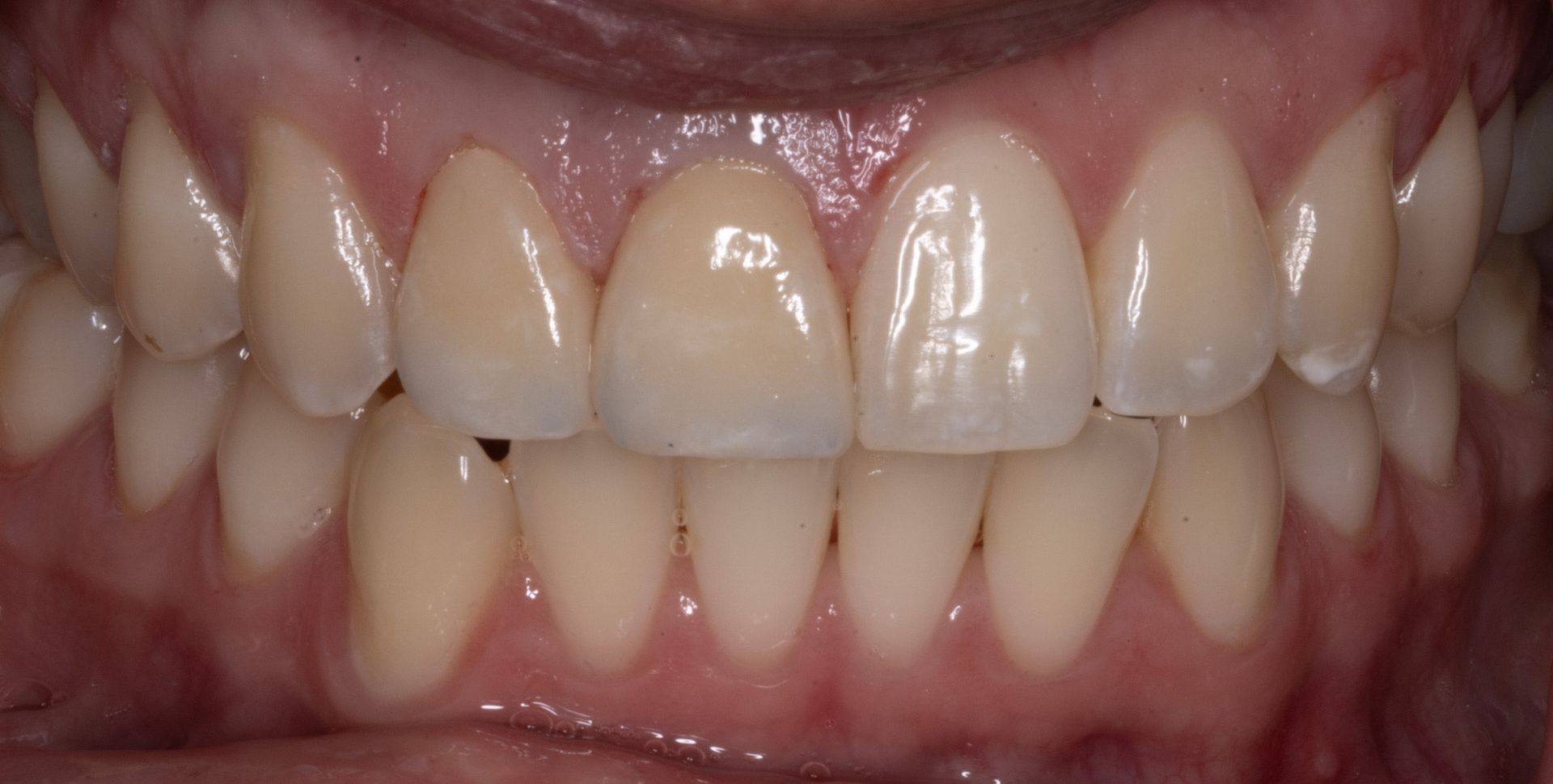
Crooked teeth, worn teeth, fillings, gaps, chips, cracks, and discolorations – you name it, we can fix it! It’s no secret that our smiles have a huge effect on how others see us and how we feel about ourselves. Many patients tell us that they would love to fix their teeth, but they assume it will take something extreme to make it possible. They are thrilled to find out there are many conservative options for improvement. We offer a wide range of cosmetic services including porcelain veneers, bonding, crowns , bridges, and implants.
We also offer Zoom in-house and take-home teeth whitening for a dazzling smile. Our dental practice is designed to deliver services with professionalism, compassion and quality. We’re happy to meet with you to discuss your specific needs and recommend the perfect treatment plan for you. We look forward to helping you achieve the smile you deserve! Call our experienced and professional dental office today.
- Veneers
- Bonding
- Crowns
- Zoom Teeth Whitening
- And More
Get a Smile You Deserve
Our team of professionals will help you achieve the smile you’ve always wanted. Whether you need a complete exam, cleaning, or cosmetic dentistry, we are here for you. We provide exceptional care for all your oral health care needs and help prevent future issues by spotting them early and addressing them as soon as possible. If you have missing teeth, or need a bright and pearly white smile, we can help you. Call our team today to schedule an appointment. We look forward to meeting you! Serenity Smiles in Bonita Springs, FL, can be reached at (239) 317-0014.
Restoring Your Healthy Smile
Damaged teeth not only affect the appearance of your smile, but your functionality in everyday life, too. It’s important to address chips, cracks, or other damage to prevent them from causing further problems later on. Dr. Critchfield is skilled at providing beautiful, strong restorations for a return to a healthy, natural-looking smile.
Dysport
Dysport freezes your facial muscles from causing wrinkles, folds, and fine lines. Dysport contains abobotulinumtoxin A, a safe processed form of botulinum toxin that can relax and freeze your facial muscles treating fine lines, including frown lines, crow's feet, and horizontal forehead wrinkles.
Have a Dental Emergency?
Serenity Smiles in Bonita Springs, FL, can be reached at (239) 317-0014. Call us when you have a dental emergency.





